審美歯科
- HOME
- 審美歯科
美しく、
より自然な口元を実現します
審美歯科とは、従来の虫歯や歯周病に対する治療と異なり、歯の審美性(見た目)の回復を目的とした治療です。
欠けてしまった歯や黒ずんでしまった歯の色や形を整え、美しい歯並びを回復することができます。
審美歯科には、歯の表面を薄く削り、その上から薄い人工歯を貼り付ける「ラミネートベニア法」、歯を削った上から人工歯を被せる「セラミッククラウン」、銀歯の替わりに歯の色に近い、白い詰め物をする「インレー法」があります。
ラミネートベニア | 歯の表面を0.5mmほど削り、その上から薄い人工の歯を接着します。歯の色を白く変えることができるほか、すきっ歯など、ある程度形を整えることもできます。 |
---|---|
セラミッククラウン | 歯を削った後に、その上から人工の歯を被せる方法です。 歯の色、形、歯並びなどトータルで改善することができます。 |
インレー | 虫歯を削った後、従来の銀歯ではなくセラミックなどの白い詰め物を詰める方法です。 ご自分の歯と同じような自然な感じに仕上がります。 |
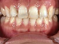
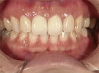
ハイブリッドセラミックの治療例


黒く変色した前歯を気にされ、来院された患者さんの症例です。
ハイブリッドセラミックによる前歯4本の治療で、綺麗な白い歯に改善できました。
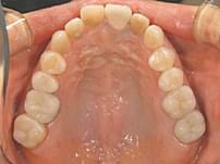
セラミックインレーの治療例


笑った時に見える奥歯を、全てセラミックに変更した患者さんの症例です。
白い歯は清潔感にあふれ、健康的な印象を与えます。