インプラント
- HOME
- インプラント
インプラントとは、
人工的に歯を再生させる治療法です

従来は、歯の無い所は義歯(入れ歯)しか機能回復の手段はありませんでした。
現在では天然歯と遜色の無い機能と審美性の回復が可能です。その方法のひとつがインプラントです。
インプラントとは、顎の骨に人工の歯根を埋め込み、その上から人工の歯を被せることで歯を再生させる治療法です。顎の骨が痩せていてインプラントが植立できない場合でも、骨を増やすことで植立することが可能になりました(特殊な場合を除きます)。
インプラントを植立すれば、歯を失った場所に固定された歯を手に入れることがでます。インプラントは自分の歯のようにしっかりと噛むことができ、見た目も自分の歯に近く、審美性に優れています。

当院では、PRP療法(ご自身の血液中の血小板濃度を高め、回復を早める治療法)を行っています。
義歯では満足できない方、もっと自然に噛みたい方は一度ご相談下さい。
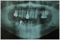
症例の紹介
58歳 男性

多数歯欠損。全歯におよぶカリエス。

右下6・7番、左上4・5番を抜歯。
右下6・7番、左上4番、左下3・4・6・7番をインプラント。
全体に歯周治療。
全顎のカリエスは審美性を考慮して、陶材焼付冠で補綴。
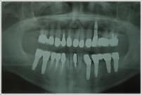
インプラントの治療例 (61歳)

咀嚼障害のご相談をいただきました。
全顎にわたる重度の歯周炎、動揺、排膿。

上下顎の歯周治療を行い、下顎臼歯インプラントによる全顎補綴。

インプラント埋入後
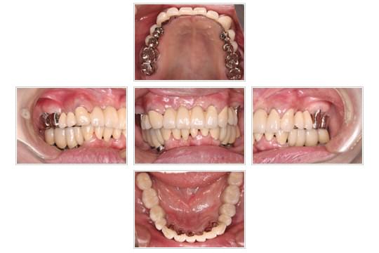
口腔内写真