ホワイトニング
- HOME
- ホワイトニング
白く美しい歯を
手に入れることができます
ホワイトニングとはその名の通り、特殊な薬剤を使用して歯を白くする治療法です。
濃度の薄いジェル(ホワイトニング剤)を歯面に当てて、ゆっくり、やさしく、持続的に脱色します。
ジェルの成分(過酸化水素)は、もともと口腔内の消毒に使われていたものですから、安全で歯の構造を変えずに歯が白くなります。
ホワイトニングには、歯科医院に通院して行う「オフィス・ホワイトニング」と、ご自宅で行う「ホーム・ホワイトニング」があります。オフィス・ホワイトニング、ホーム・ホワイトニングともに長所と短所があり、患者さんのご要望をお伺いしながら、最適な方法をご提案致します。詳しくはお問い合わせ下さい。
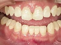
ホワイトニングの治療例


オフィスホワイトニング
当院では、従来のホワイトニングの欠点を改善した、新しいホワイトニング、「Ken’sホワイトニング」を採用しています。
従来のホワイトニングは、熱による化学反応を利用して歯を白くしていたため、歯や歯茎がしみて痛むことがありましたが、Ksn’sホワイトニングでは、熱にたよらず光によって化学反応を起こすため、ほとんどしみることなくホワイトニングすることができます。また、単に歯を白くするだけでなく、明るくツヤやかにする「ブライトニング」効果も期待できます。
ホームホワイトニングで白さと明るさをキープしながら、より早く効果を出すために、オフィスホワイトニングの併用をお勧めしています。
ホームホワイトニング

当院では、マウストレイの必要がなく、自宅でLEDライトを使用して手軽に楽しく、本格的なホワイトニングを行うことができる、Vividホワイトニングシステムを採用しています。
長時間トレイをはめたままにする必要がなく、しかも熱を発しないので、安全に使用することができます。
使用の流れ
- 歯を磨き歯面をきれいにして下さい。
- リップリトラクター(開口器)をつけて、歯面の水分をティッシュで十分に拭き取って下さい。
- 指定のホワイトニングジェルのフタに付いたブラシで、歯面にジェルを均等に塗り付けて下さい。
- Vividで約8分、ライトを照射をして下さい。
- ホワイトニングジェルが白く変色したのを確認して歯ブラシで軽くハミガキをして終わりです。
以上を1日2回(1回8分・夜2回でもいつでもOK)行って下さい。